Tiba-tiba rasa tak mahu pergi scaling gigi....huhu
Tadi saya sempat google apa yang patut berkaitan dengan scaling gigi ni.
Rase mcm ngilu plak bila dengar.
Tapi kalau tak pergi berkarat la kot gigi den ni
Saya manusia yang tak tahan sakit (ada ke orang yang tahan sakit and suka sakit)
Mak pesan kene kuat semangat kalau nak hadapi kesukaran
.:: Ayat nak sedapkan hati ::.
Sakit nak beranak lagi sakit tau
Baik kau pergi....
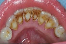
Amaran
Gambar di bawah sangatla meloyakan
Kalau tak tahan baik tak payah tengok
Berkarat kan??
Ni bukan gigi den la
Jangan salah sangka ok

Hampir muntah
Taknak tengok lelama
Mak ai tengok alatan pun den dah seriau
OMG kalau rupe ni nak scaling gigi
Time kasih daun keladi la
Gua cabut dulu
Tata
P/s: Thanks to Google





2 Kata-Kata Inspirasi:
scalling gigi nie perlu
sbb nnti ble senyum,pic nmpk cntik je
seyes...
ngilu sikit je
Tu la..tpi nak tahan nak tahan ngilu tu..aduh...
Eh by the way..i try klik ur link..tak dpt la..
Bole exchange link.....=)
Post a Comment